Sr. Director:
La hipertensión vasculorrenal (HVR) es la forma de hipertensión secundaria más frecuente, siendo la arteriografía renal el estudio estándar de oro para confirmar el diagnóstico1. Clínicamente cursa con hipertensión arterial (HTA) refractaria a tratamiento (tres fármacos antihipertensivos incluido un diurético) y deterioro progresivo de la función renal por atrofia renal isquémica2. La angioplastia es la técnica de elección en los casos de displasia fibromuscular de arteria renal; sin embargo, existe la posibilidad de realizar una nefrectomía, cirugía de banco y autotrasplante en los casos que no pueden tratarse con esta3.
Presentamos el caso de una mujer de 59 años de edad, sin hábitos tóxicos, con antecedente de dislipemia, síndrome de apnea obstructiva del sueño y anemia ferropénica crónica, en seguimiento en la consulta externa de Nefrología desde hacía aproximadamente 20 años por presentar HTA refractaria a tratamiento (5 fármacos).
La exploración física era normal, salvo la HTA mantenida: (170/90 mmHg bajo tratamiento médico antihipertensivo), incluyendo un examen funduscópico donde no se objetivaba retinopatía. Se practicaron en varias ocasiones monitorización ambulatoria de la presión arterial, que confirmaba la HTA refractaria. Una de dichas mediciones arrojó las siguientes lecturas:
Presión arterial sistólica (PAS) media: 143 mmhg (110-168); presión arterial diastólica (PAD) media: 80 mmHg (62-90); frecuencia cardíaca media: 61 (64-67). Carga PAS: 70,7 %, carga PAD: 25,9 %. Patrón nocturno NO DIPPER (descenso nocturno PAS: –1,15 %, descenso nocturno PAD: 0 %).
En la analítica destacaba hemoglobina: 11,7 g/dl; hematocrito: 37,1 %; creatinina: 1,22 mg/dl; urea: 40 mg/dl; glucosa: 88 mg/dl; colesterol total: 249 mg/dl; sedimento de orina normal sin microalbuminuria. Hormonas tiroideas, catecolaminas y metanefrinas normales.
El electrocardiograma presentaba signos de crecimiento ventricular izquierdo que no se confirmó mediante un ecocardiograma-Doppler.
En los estudios de imagen presentaba radiografía de tórax normal y ecografía renal con riñón derecho sin alteraciones estructurales, salvo presencia de dos quistes simples en polo superior y sin poder visualizar el riñón izquierdo. Posteriormente, se realizó un angiotac de arterias renales que objetivó una estenosis casi completa de arteria renal derecha, de 1,3 cm de longitud, a una distancia de 2 cm aproximadamente de su salida, con un aneurisma de 8 mm posterior a la estenosis con presencia de alguna dilatación aneurismática más de menor tamaño. Asimismo, presentaba atrofia renal izquierda (figura 1). Este hallazgo se confirmó con una arteriografía renal.
Como tratamiento, precisó de varios antihipertensivos a lo largo de su seguimiento, entre ellos diuréticos, betabloqueantes, alfabloqueantes, calcioantagonistas y antagonistas de angiotensina II, manteniendo aún valores elevados de tensión arterial. Esta se controló correctamente con el tratamiento de inhibidores de la enzima de conversión de la angiotensina, que se suspendió por deterioro agudo de función renal.
Ante la hipertensión arterial refractaria al tratamiento y la posibilidad de complicaciones evolutivas de esta, se planteó a la paciente tratamiento quirúrgico con autotrasplante renal, ya que no era susceptible de un procedimiento vascular intervencionista debido a las alteraciones anatómicas vasculares.
Se realizó un autotrasplante renal ipsilateral en fosa ilíaca derecha mediante extracción del injerto con reconstrucción en banco del pedículo, y reparación de tronco principal y rama secundaria de arteria renal derecha y posterior autotrasplante renal con arteria hipogástrica y aneurismorrafia.
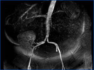
Tras la intervención, las cifras tensionales se normalizaron y desde entonces se mantiene alrededor de 120/80 mmHg sin fármacos. En el estudio de imagen poscirugía (angiorresonancia renal) (figura 2), se objetiva el injerto renal normal con nueva vascularización.
La HVR es una de las formas más frecuentes de hipertensión secundaria, con una prevalencia que oscila entre el 5-15 %. La importancia de su diagnóstico se debe sobre todo al hecho de ser una forma de hipertensión potencialmente curable con la corrección de la estenosis1. Existen dos tipos principales de enfermedad vasculorrenal: la producida por displasia fibromuscular, que afecta más a mujeres antes de los 30 años de edad, y las estenosis ateroscleróticas, que se ven en varones mayores de 60 años, sobre todo en pacientes con factores de riesgo vascular2. El manejo médico de la hipertensión es el recurso terapéutico preferido en pacientes con la ateroesclerosis, ya que no es común la pérdida de la función renal debida a la obstrucción progresiva4. Sin embargo, el tratamiento intervencionista está reservado para aquellos pacientes en quienes, a pesar de indicarse múltiples fármacos, no es posible controlar la hipertensión.
Si la estenosis de la arteria renal es debida a fibroplasia perimedial y de la íntima, esta generalmente progresa a atrofia renal isquémica; ante estos casos, es recomendable el tratamiento intervencionista. La angioplastia es la técnica de elección en los casos de fibrodisplasia5. Sin embargo, el 30 % de los casos pueden requerir de revascularización quirúrgica, la cual generalmente se lleva a cabo in situ. Existe la posibilidad de realizar cirugía de banco y luego autotrasplante; esto se lleva a cabo en casos complejos, donde la reparación in situ puede llegar a ser un gran reto.
En nuestro caso, la cirugía de banco fue compleja con reconstrucción de pedículos y aneurismorrafia, lo que llevó a la solución del problema.
Conflictos de interés
Los autores declaran que no tienen conflictos de interés potenciales relacionados con los contenidos de este artículo.
Figura 1. Angiotac de arterias renales
Figura 2. Angiorresonancia renal
 
										
				








