La hipertensión arterial es una enfermedad de alta prevalencia y siempre deben tenerse en cuenta las causas secundarias que pueden originarla, debido a que el tratamiento y el pronóstico difieren entre estas y la hipertensión esencial. Presentamos el primer caso reportado en Argentina de una paciente de 21 años con hipertensión arterial e hipopotasemia, debido a un tumor de células yuxtaglomerulares productor de renina, el cual fue diagnosticado tras siete años de evolución.
Arterial hypertension is a highly prevalent disease and its secondary causes must always be kept in mind because the treatment and prognosis differ between these and essential hypertension. Here we present the first reported case in Argentina of a 21-year-old patient with arterial hypertension and hypokalaemia due to a renin-secreting juxtaglomerular cell tumour, which was diagnosed after seven years of development.
INTRODUCCIÓN
El reninoma es un tumor de las células del aparato yuxtaglomerular que produce cantidades excesivas de renina, resultando en una forma secundaria de hiperaldosteronismo, manifestándose clínicamente con hipertensión (HTA) e hipopotasemia1. Este tumor renal predomina en el sexo femenino, con un pico de incidencia entre la segunda y la tercera década de vida y, aunque infrecuente, es una causa tratable de HTA2. Debe sospecharse en cualquier paciente con HTA refractaria asociada a hipopotasemia y niveles elevados de aldosterona.
Presentamos el primer caso de reninoma reportado en Argentina en una mujer joven con HTA refractaria e hipopotasemia.
CASO CLÍNICO
Mujer, diagnosticada de HTA a los 14 años, cuando fue admitida por primera vez en un hospital pediátrico, con presión arterial (PA) de 210/120 mmHg, cefaleas e hipopotasemia. Con la sospecha de HTA secundaria, se le realizaron diversos estudios. La ecografía renal, el ecocardiograma y el cateterismo de aorta y arterias renales no evidenciaron alteraciones. Los dosajes de actividad de renina plasmática (ARP) y aldosterona plasmática (AP) resultaron elevados en dos ocasiones (tabla 1). Los niveles de ácido vanilmandélico en orina y los de TSH, T4 libre y T3 plasmáticos resultaron normales. Recibió el alta hospitalaria medicada con inhibidores de la enzima convertidora de angiotensina y bloqueante cálcico, pero no regresó a control.
A los 19 años de edad, consultó en otro nosocomio por HTA y cursando embarazo de ocho semanas, por lo cual fue hospitalizada en terapia intensiva. Se determinó buena salud fetal, PA 200/110 mmHg e hipopotasemia, iniciándose tratamiento con clonidina y alfa metil dopa. En ecografía renal se evidenció en polo inferior de riñón izquierdo formación nodular regular de 45 mm de diámetro, ecográficamente compatible con angiomiolipoma. Los niveles de ARP y AP estaban elevados. Continuó en tratamiento ambulatorio con labetalol y nifedipina. A las 19 semanas de gestación fue admitida por guardia, con diagnóstico de aborto retenido, realizándose legrado uterino. Cuatro días después solicitó alta voluntaria, no regresando a control.
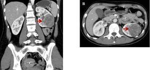
Dos años más tarde, estando medicada con enalapril, losartán y amlodipina, ingresa a la guardia de nuestro hospital consultando por cefalea occipital y debilidad muscular de varios días de evolución. Se constata PA de 220/140 mmHg. En sus estudios iniciales se detectó hipokalemia de 2 mEq/l, creatinina plásmatica de 0,6 mg/dl y urea plasmática de 25 mg/dl. La ecografía renal evidenció una imagen nodular sólida, corroborada por tomografía computarizada abdominal contrastada, donde se observó una voluminosa formación ocupante de espacio, sólida, en sector interpolar y polo inferior del riñón izquierdo de 65 mm de diámetro, hipovascularizada (figura 1). El Doppler de arterias renales y el ecocardiograma no mostraron alteraciones.
Ante el diagnóstico presuntivo de HTA secundaria a tumor renal, por los niveles elevados de renina, y habiéndose descartado otras causas secundarias de HTA en estudios anteriores, se decide realizar nefrectomía del riñón afectado, previamente controlada la PA con el agregado de espironolactona en dosis de 100 mg/día a su medicación habitual.
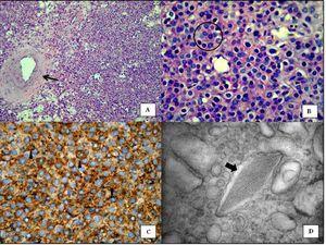
El examen patológico reveló un tumor encapsulado de 5,5 x 4,5 cm, de aspecto hemorrágico, con áreas fibrosas de color blanquecino. Microscópicamente la lesión tumoral se encontró constituida por células de mediano tamaño, con núcleos medianos, vesiculosos, con cromatina irregular, algunas con nucléolo inconspicuo y citoplasma eosinófilo, otras con citoplasma claro, dispuestas en un patrón difuso con extensa hemorragia y leve infiltrado inflamatorio mononuclear (figura 2 A y figura 2 B), sin invasión de la cápsula renal. No se encontró atipia celular, mitosis, ni necrosis. Las células tumorales fueron positivas para vimentina y mostraron una positividad fuerte y difusa para CD34 (figura 2 C). La observación a nivel ultraestructural permitió reconocer células con gránulos intracitoplasmáticos con diferentes grados de electrolucidez, rodeados por membranas. En cuanto a la morfología, variaron de redondos a alongados, adquiriendo algunas formas con bordes rectilíneos, y se destacó en algunos de ellos una forma romboidal cristaloide que a grandes magnificaciones presenta una estructura de zigzag de marcada electrodensidad (figura 2 D). Hallazgos vinculables a tumor de células yuxtaglomerulares (TCY), permitiendo corroborar la sospecha clínica.
Posterior a la cirugía, la PA de la paciente fue disminuyendo de forma paulatina y simultáneamente se retiraron antihipertensivos, evolucionando asintomática, normotensa, con niveles de renina plasmática, aldosterona y potasio séricos normales, sin tratamiento farmacológico.
DISCUSIÓN
La asociación de HTA e hipopotasemia orienta generalmente al diagnóstico de hiperaldosteronismo. Los valores elevados de ARP y de AP permiten el diagnóstico diferencial entre un hiperaldosteronismo primario y secundario3,4. Ante la presencia de un hiperaldosteronismo hiperreninémico e HTA, debe realizarse el diagnóstico diferencial entre estenosis de arterias renales, coartación de aorta y un tumor secretor de renina5.
En 1967, Robertson et al.6 describieron el primer tumor productor de renina. Kihara et al. fueron quienes posteriormente lo denominaron «tumor de células yuxtaglomerulares»7. Son tumores muy poco frecuentes, con un pico de incidencia entre la segunda y la tercera década de vida, y con predominancia por el sexo femenino, originados en células mioendocrinas del aparato yuxtaglomerular renal, aunque también se ha comprobado la producción de renina por otros tumores diferentes, como tumores de Wilms, tumores carcinoides, oncocitomas renales y carcinomas de células renales8,9. De acuerdo con la presencia o ausencia de síntomas, los TCY pueden presentarse como: una variante «típica», que representa la mayoría de los casos, y se manifiesta con HTA, hipokalemia, renina plasmática elevada e hiperaldosteronismo secundario; una variante «atípica», en la cual la HTA no se acompaña de hipokalemia; y una tercera variedad «no funcionante» que cursa sin HTA y con niveles normales de potasio10,11.
Los TCY se localizan en la corteza renal y en los primeros años de su aparición pueden ser indetectables por métodos imagenológicos comunes, por lo que se puede requerir la medición de renina de forma selectiva en cada vena renal para su diagnóstico12. El cateterismo de las arterias renales, además de descartar la presencia de estenosis en estas, puede detectar un área avascular correspondiente al sitio del tumor. La tomografía dinámica muestra un patrón típico que ayuda a diferenciar este tumor de otros, manifestándose como una masa hipovascular en la fase arterial, con captación moderada de contraste en la fase tardía. La resonancia magnética es una opción para tumores muy pequeños13.
El estudio anatomopatológico e inmunohistoquímico (inmuno-reactividad para los marcadores: CD34, vimentina, CK7 y citoqueratina CAM5; marcación variable para CD117 y actina del músculo liso; y negativa para factor de von Willebrand, CD31, desmina, proteína S-100, antígeno relacionado con melanosoma, cromogranina A, sinaptofisina y enolasa neuroespecífica), junto con la microscopía electrónica de transmisión, la cual revela la presencia de células con protogránulos y gránulos maduros de renina, permiten confirmar la sospecha clínica y realizar el diagnóstico diferencial con otros tumores, como el carcinoma de células renales, el hemangiopericitoma y el adenoma metanéfrico14. Si bien los TCY se consideran tumores de comportamiento benigno, la invasión vascular puede estar presente, como en el caso reportado por Shera et al., quienes demostraron invasión vascular, de la cápsula tumoral y de un ganglio linfático, con recidiva de la enfermedad al año15.
La genética molecular ha sido poco estudiada. La trisomía del cromosoma 10, la monosomía del cromosoma 9 y X, y la pérdida de la mayor parte del brazo del cromosoma 11q son los trastornos más detectados16.
La extirpación del tumor, con conductas quirúrgicas acordes al tamaño, logra la normalización de los niveles de potasio, renina y aldosterona, y en la mayoría de los casos también normaliza las cifras de PA17.
Habitualmente, esta clase de tumores se diagnostican tras 5-7 años desde el inicio de la HTA, por lo que ante la presencia de HTA e hipopotasemia deben estudiarse la ARP y la AP. Si ambas se hayan elevadas y el paciente no se encuentra bajo tratamiento con diuréticos, deben descartarse mediante eco-Doppler, angio-TAC o cateterismo arterial la coartación de aorta y la estenosis de arterias renales.
En conclusión, el TCY es una causa muy poco frecuente de HTA secundaria y existen reportados en la literatura poco más de 100 casos desde 1967. Este es el primero comunicado en nuestro país y se realizó tras varios años de evolución, ya que el tumor no se evidenció en un principio pese a los numerosos estudios, lo cual podría sugerir que las manifestaciones clínicas se inician con lesiones microscópicas. En estos casos, el dosaje selectivo de renina en cada vena renal sería una herramienta útil para diagnosticar el riñón afectado.
Agradecimientos
Apreciamos la colaboración en el seguimiento de la paciente durante la hospitalización al Dr. Eduardo Bravo, el Dr. Ricardo Pedernera y la Dra. Vanesa Perrone. Finalmente, agradecemos la asistencia técnica en la microscopía electrónica de transmisión de la Sra. Elena Pereyra.
Conflictos de interés
Los autores declaran que no tienen conflictos de interés potenciales relacionados con los contenidos de este artículo.
Figura 1. Imágenes tomográficas de tumor renal izquierdo (flechas)
Figura 2.







