La diálisis peritoneal (DP) es una terapia renal sustitutiva eficaz. Esta técnica presenta complicaciones infecciosas, como las peritonitis, y complicaciones mecánicas, como las fugas o los atrapamientos peritoneales. El diagnóstico de estas entidades es eminentemente clínico, pero en algunos casos es necesaria la confirmación mediante alguna técnica de imagen1. La ecografía se presenta como una prueba no invasiva, sin efectos adversos y con una alta sensibilidad para el diagnóstico de distintas complicaciones. No es necesaria una preparación especial, los pacientes solo necesitan tener líquido de diálisis en la cavidad peritoneal para identificar fácilmente el catéter y las estructuras abdominales. Los equipos modernos de ecografía son más compactos, con mayor calidad de imagen y con menor coste. Una formación adecuada es imprescindible y es necesario un radiólogo experto para interpretar de manera idónea las imágenes. Un uso adecuado de la técnica proporciona información suficiente y precisa como para evitar otros métodos de diagnóstico que son incómodos para los pacientes y tienen efectos secundarios, como la radiación ionizante en el caso de la tomografía computarizada.
Presentamos imágenes de ecografía de dos complicaciones peritoneales como son las fugas peritoneales y el atrapamiento peritoneal.
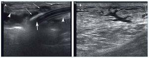
FUGAS PERITONEALES
La fuga o escape peritoneal se define como la salida de líquido de la cavidad peritoneal. La prevalencia varía entre un 1 % y un 27 %2. Puede afectar a la zona pericatéter o a la pared abdominal en pacientes con hernias o con antecedentes de cirugía abdominal. Los factores identificados con la fuga de líquido de diálisis están relacionados con la técnica de inserción del catéter, el tipo de DP y los defectos de la pared abdominal3. El factor asociado más importante con fugas pericatéter es la mala colocación del dacron interno en la profundidad del músculo recto4 y no en el área subaponeurótica. Los síntomas clínicos descritos asociados a la aparición de fugas son baja ultrafiltración, presencia de tumoración o edema subcutáneo abdominal, salida de efluente pericatéter o edema genital. Las fugas se identificaron con ecografía ante la aparición de los siguientes signos (figura 1):
Figura 1.Fuga peritoneal. A) Visión longitudinal del dacron interno (flecha gruesa) rodeado de una imagen hipoecoica (flechas finas) correspondiente a fuga de líquido peritoneal. El músculo recto (cabezas de flecha) está adelgazado y rasgado secundariamente a la rotura. B) Bandas hipoecoicas secundarias a edema del tejido celular subcutáneo por fuga de líquido.
A) Brecha entre la pared abdominal y el peritoneo (donde previamente hubo un catéter o en la zona de un procedimiento quirúrgico previo, hernia de línea media o de Spiegel).
B) Patrón ecográfico de edema en el tejido graso subcutáneo, que podría estar asociado con el líquido que rodea el catéter y el dacron interno. Cuando existía una movilidad importante del dacron interno o se demostraba bastante líquido alrededor de este, era considerado como signo de mal pronóstico para el tratamiento conservador. La ventaja de la ecografía sobre el peritoneograma es que localiza el lugar exacto de la fuga y el tamaño de esta, lo que permite orientar el mejor tratamiento: conservador o quirúrgico.
ATRAPAMIENTO PERITONEAL POR EPIPLON
El éxito de la DP depende del correcto funcionamiento del catéter implantado5. El atrapamiento por epiplon (figura 2) es una causa frecuente de obstrucción del catéter peritoneal6. La incidencia de baja ultrafiltración por obstrucción del catéter varía, según las series, entre un 6 % y un 20,5 %, siendo entre el 52 % y el 92 % atribuible a un atrapamiento peritoneal6. La cateteriografía7 ha sido propuesta para su diagnóstico, pero necesita un medio de contraste en la cavidad peritoneal, mientras que la ecografía es igual de eficaz, menos invasiva y permite cuantificar el grado de atrapamiento para diferenciar a aquellos pacientes que requerirán cirugía o maniobras de recolocación.
Figura 2.Atrapamiento peritoneal por epiplon. A) Epiplon (flechas finas) rodeando el catéter peritoneal. B) Introducción de epiplon en los orificios laterales del catéter peritoneal (flechas finas).
Conflictos de interés
Los autores declaran que no tienen conflictos de interés potenciales relacionados con los contenidos de este artículo.
doi:10.3265/NefroPlus.pre2015.Feb.12815
Correspondencia:
M. Auxiliadora Bajo Rubio
Servicio de Nefrología. Hospital Universitario La Paz.
Paseo de la Castellana, 261. 28046 Madrid.
mauxiliadora.bajo@salud.madrid.org






