Sr. Director:
La preeclampsia es una complicación frecuente durante el embarazo (3-10% de los casos), definida por el desarrollo de hipertensión arterial y proteinuria a partir de la semana 20 de gestación. Está vinculada a diversos factores: antecedentes familiares, hipercoagulabilidad, diabetes, etc.1,2.
En este contexto, presentamos el caso de una paciente de 33 años con una historia de tromboembolismo pulmonar, estudio negativo para coagulopatías (incluyendo anticoagulante lúpico y anticardiolipina), pero un déficit heterocigoto del gen C677T del enzima metiltetrahidrofolato reductasa, que desarrolló en la semana 34 de gestación un síndrome de HELLP parcial. Su enfoque terapéutico comprendió la administración de hidralazina, alfametildopa y, finalmente, la realización de una cesárea urgente. Sin embargo, la resolución clínica fue sólo parcial (con una proteinuria residual de 113 mg/dl en orina de 24 h).
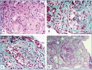
Cuatro meses después (durante el período de lactancia), la enferma sufrió un nuevo cuadro caracterizado por la inflamación de ambos tobillos, hipertensión y un deterioro no oligúrico de la función renal (urea: 145 mg/dl, creatinina: 4,3 mg/dl), motivo por el cual fue ingresada en Nefrología. En el patrón analítico destacaban: hemoglobina: 9,5 g/dl; albúmina: 4,3 g/dl, así como microhematuria y proteinuria de 125 mg/dl. Mientras, el estudio inmunológico mostraba positividad para autoanticuerpos antinucleares (ANA 2,02, a título de 1/80) con anti-DNA, antihistonas y complemento normales. Respecto a los anticuerpos anticitoplasmáticos (ANCA), éstos eran positivos a título bajo (26,4 U/l) y con especificidad antimieloperoxidasa (ANCA-MPO). A pesar de todo lo anterior, la paciente inició una resolución espontánea del proceso con tratamiento conservador, hecho que permitió el retraso en la realización de la biopsia renal hasta el cese de la lactancia. El estudio anatomopatológico posterior describió una esclerosis en el 40% de la muestra, con obliteración de las luces capilares por proliferación mesangial y endoteliosis, aumento de la sustancia mesangial y sinequias capsulares. Las células epiteliales parietales eran particularmente prominentes y formaban semilunas epiteliales y fibrosas en 4 glomérulos (30% de la muestra). Las células viscerales, en cambio, aparecían muy hinchadas y con numerosas gotas de reabsorción proteica. En el intersticio se observaban acúmulos inflamatorios predominantemente linfocitarios y fibrosis focal leve. En cuanto a la inmunofluorescencia, se advirtieron pequeños depósitos difusos de IgG y C3 de localización mesangial y de intensidad 1+ (figura 1).
Con todos estos datos, se prescribió una terapia combinada con prednisona, a razón de 1 mg/kg/día, y azatioprina, 2 mg/kg/día. La evolución subsiguiente continuó siendo favorable, con corrección de la anemia, normalización de la función renal (urea: 41,2 mg/dl, creatinina: 1 mg/dl) y también de los autoanticuerpos. Sin embargo, en la orina de 24 h se mantuvieron la microhematuria (+) y la proteinuria (203,5 mg/dl). En cuanto al despistaje de una posible afectación pulmonar −habitual en patologías microangiopáticas−, se realizaron también pruebas funcionales respiratorias que destacaron una disminución de la difusión alveolar a expensas del componente capilar.
Por último, se reconsideró el diagnóstico definitivo del caso basándose en las premisas de: inexistencia de criterios suficientes de lupus o poliangeítis microscópica, afectación renal autolimitada, inespecificidad inmunológica (concomitancia de ANA y p-ANCA), alteraciones histológicas parcialmente comunes al daño preeclámptico (como endoteliosis, proliferación mesangial e incluso fibrosis intersticial) y, sobre todo, curso relacionado con el parto3. La conclusión final fue la de una vasculitis p-ANCA inducida por fármacos, sobreañadida a la toxemia. En ella existió una relación posible entre la sintomatología sistémica y la administración previa de la hidralazina y/o la metildopa. Además, su presentación episódica resultó plenamente coincidente con el efecto promotor de autoinmunidad descrito en la literatura para ambos fármacos, que, en el caso de la hidralazina, parece estar también vinculado a la génesis de algunas formas de síndrome renopulmonar y una glomerulonefritis pauciinmune p-ANCA (+)4,5.
Conflictos de interés
Los autores declaran que no tienen conflictos de interés potenciales relacionados con los contenidos de este artículo.
Figura 1. Biopsia renal. Lesiones preeclámpticas y semilunas fibrosas






