Presentamos el caso de un hombre de 39 años, con antecedentes de nefropatía por reflujo, que ingresó por fiebre, insuficiencia respiratoria y encefalopatía. Había recibido su tercer trasplante renal cuatro meses antes y dos meses más tarde había sido tratado por un rechazo agudo mediado por anticuerpos con pulsos de esteroides, plasmaféresis e inmunoglobulina intravenosa, sin recuperación de la función renal.
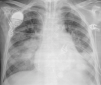
Los resultados de laboratorio mostraron hemoglobina de 88 g/l (8,8 g/dl), plaquetas 45 000 células/μl, leucocitos 7200 células/μl (linfocitos 240 células/μl), proteína C reactiva 254,7 mg/l (25,4 mg/dl) y antigenemia para citomegalovirus positivo. La radiografía de tórax mostró infiltrados pulmonares bilaterales (figura 1). Se inició tratamiento antibiótico de amplio espectro y ganciclovir. Dos días después de su ingreso, la detección del antígeno galactomanano de Aspergillus en suero y el lavado broncoalveolar resultaron positivos y se añadió voriconazol y caspofungina. Sin embargo, el paciente evolucionó rápidamente hacia un shock séptico y murió en cinco días. La necropsia mostró aspergilosis diseminada en los pulmones, los ganglios mediastínicos, la tiroides y en el injerto (figura 2) asociada con infección por citomegalovirus pulmonar y esofágica.
La aspergilosis invasiva aguda es una enfermedad de progresión rápida, con frecuencia fatal. En los receptores de trasplantes de órganos sólidos, la aspergilosis invasiva de aparición tardía (que ocurre tres meses después del trasplante) se asocia con la intensidad de la inmunosupresión que se usa para tratar el rechazo de aloinjertos y retrasplante1,2. Los pulmones y las estructuras mediastínicas se ven afectados con mayor frecuencia, aunque la diseminación hematógena puede afectar casi cualquier órgano1. El diagnóstico sigue siendo un reto debido a la inespecificidad de los síntomas. Las pruebas histológicas o técnicas de cultivo son necesarias para un diagnóstico definitivo. La determinación de antígenos, junto con los factores del huésped y los criterios clínicos, harían posible un diagnóstico más rápido3.
Conflictos de interés
Los autores declaran que no tienen conflictos de interés potenciales relacionados con los contenidos de este artículo.
Figura 1. Radiografía de tórax que muestra infiltrados pulmonares bilaterales.
Figura 2. Examen posmuerte del injerto renal que muestra aspergilosis invasiva. Las flechas apuntan a hifas en el glomérulo. Técnica de plata, x400.
11818_19904_51982_es_11818_copy1.pdf
Edición versión impresa






