CASO CLÍNICO
Mujer de 56 años con enfermedad renal crónica no filiada, en hemodiálisis desde 2001. Hipertensión arterial mal controlada. Trasplante renal (TR) de cadáver en junio de 2003, con reintervención por sangrado en el posoperatorio inmediato. Se diagnostica de rechazo agudo vascular tipo III de Banff por biopsia al quinto día post-TR, tras la que aparece fístula arteriovenosa no complicada en el polo inferior del injerto. Posteriormente presenta un gran linfocele con compresión de la arteria ilíaca externa (AIE) que precisó drenaje. Se rebiopsia al mes sin incidencias. A los cuatro meses se procede a trasplantectomía por falta de función renal y rechazo agudo, volviendo a hemodiálisis. Controles ecográficos posteriores sin hallazgos significativos.
En mayo de 2009 presenta dolor brusco y tumoración pulsátil en región inguinal derecha, observando en eco-Doppler y angio-tomografía axial computarizada una imagen sugerente de pseudoaneurisma dependiente de la AIE, en situación teórica de la anastomosis del injerto renal previo (figura 1).
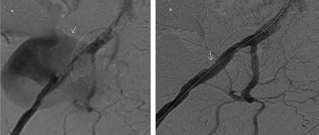
Se deriva a Cirugía Vascular para reparación del pseudoaneurisma que se origina en la anastomosis con la arteria renal del riñón trasplantado. Se repara sin incidencias de forma endovascular, implantando prótesis ilíaca tipo Zenith, con fenestraciones para preservar ramas viscerales (figura 2), obteniendo buen resultado radiológico (figura 3) y clínico.
En agosto de 2009 acude a hemodiálisis con empastamiento y aumento de tamaño en miembro inferior derecho, descartándose por eco-Doppler trombosis venosa profunda y conservando permeabilidad de la prótesis ilíaca. Posteriormente se dan episodios similares sin signos ecográficos de trombosis venosa ni arterial.
DISCUSIÓN
Los pseudoaneurismas arteriales son una complicación infrecuente (< 1 %) del TR. Se dividen en intrarrenales, más frecuentes y generalmente relacionados con biopsia percutánea del injerto, y extrarrenales, más infrecuentes, habitualmente localizados sobre el área de la anastomosis arterial y relacionados con una reconstrucción vascular deficiente, daños en la pared arterial o infecciones en dicha área, apareciendo en las primeras semanas tras el TR o en relación con posteriores procedimientos quirúrgicos como la trasplantectomía1.
Los pseudoaneurismas pequeños pueden tratarse de forma conservadora, mientras que los más grandes (> 2,5 cm) o con signos de infección requieren tratamiento para prevenir la ruptura. Las opciones terapéuticas incluyen cirugía convencional abierta, reparación endovascular o inyección percutánea de trombina guiada por ecografía2.
En nuestro caso, la reintervención tras el trasplante, el linfocele sobre la AIE y la trasplantectomía posiblemente han condicionado debilidad de la pared vascular, pudiendo ser la causa del pseudoaneurisma. El desarrollo de este a los seis años de la trasplantectomía (exploración y ecografías previas normales) no es frecuente2, aunque hay otros casos descritos3. Puede que factores como la hipertensión arterial, la implantación de catéteres venosos femorales o las punciones en la arteria femoral (arteriografías, cateterismos, etc.) favorezcan su aparición.
El tratamiento endovascular es menos agresivo que la cirugía y con buenos resultados, como se demuestra en este caso.
Conflictos de interés
Los autores declaran que no tienen conflictos de interés potenciales relacionados con los contenidos de este artículo.
Figura 1. Masa a nivel de la fosa ilíaca derecha (flechas), de aproximadamente 9 x 7 cm.
Figura 2. Prótesis tipo Zenith (flecha) en la arteria ilíaca externa.
Figura 3. Pseudoaneurisma dependiente de la arteria ilíaca externa antes (a) y después (b) de la reparación endovascular.
11978_19904_52001_es_11978_copy1.pdf
Edición versión impresa







