Se describe el caso de un varón de 77 años, que acude por cuadro de 4 días de evolución de dolor, frialdad y lesión prenecrótica con flictenas en la cara anterior del tercio distal de la pierna izquierda, asociado a disminución de la sensibilidad. Como antecedentes personales destacan: hipertensión arterial, diabetes mellitus tipo 2, fumador activo, ictus de arteria cerebral media izquierda sin secuelas y tromboendarterectomía carotídea izquierda. Otros antecedentes quirúrgicos fueron nefroureterectomía izquierda por carcinoma urotelial infiltrante de uréter y colecistectomía.
Las analíticas fueron normales, destacando únicamente una cifra de creatinina de 1,46 mg/dl, con un aclaramiento de 42,9 ml/min según la fórmula de Cockcroft-Gault (enfermedad renal crónica [ERC] estadio 3B). Se le realizó una arteriografía, previa administración de las medidas de nefroprotección oportunas, que confirmó una oclusión de la arteria ilíaca común, interna y externa izquierdas, recanalizando en arteria femoral común por colaterales, y reveló la presencia de un riñón ectópico en la fosa ilíaca derecha, así como una dilatación aneurismática de la arteria ilíaca común ipsilateral, a partir de la cual recibía su irrigación dicho riñón (figura 1).
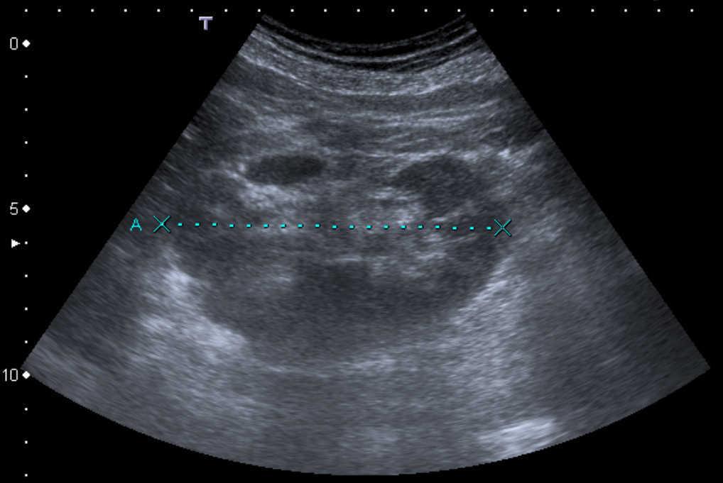
Con los resultados de las pruebas, se decidió realizar un bypass fémoro-femoral cruzado derecho-izquierdo, con el objetivo de garantizar una buena cicatrización de una posterior amputación mayor, necesaria por el grado de isquemia irreversible que presentaba el paciente. Así, en un segundo tiempo, se realizó una amputación supracondílea, siendo finalmente el paciente dado de alta con el muñón en adecuado proceso de cicatrización. Durante el posoperatorio se realizó una ecografía abdominal que informa de la presencia de un riñón ectópico derecho, de localización pélvica, de 10,2 cm de diámetro interpoplar con alguna cicatriz cortical en probable relación con antecedente inflamatorio (figura 2). Se realizó posteriormente una tomografía axial computarizada de abdomen, que confirmó la permeabilidad del bypass fémoro-femoral y la presencia del riñón ectópico irrigado a partir de la arteria ilíaca aneurismática con un calibre de 2,8 cm. Se observó también un aneurisma de aorta abdominal infrarrenal de 4,4 cm (figura 3 y figura 4). El paciente fue considerado candidato a seguimiento en consulta externa sin tratamiento de ambos aneurismas por los siguientes motivos: riñón derecho único, con arteria renal dependiente de arteria ilíaca común aneurismática, ERC estadio 3B y 77 años de edad.
Conflictos de interés
Los autores declaran que no tienen conflictos de interés potenciales relacionados con los contenidos de este artículo.
Figura 1. Arteriografía diagnóstica.
Figura 2. Ecografía renal.
Figura 3. Reconstrucción multiplanar.
Figura 4. Tomografía axial computarizada coronal.
12059_19904_52009_es_12059_copy1.pdf
Edición versión impresa








