El seguimiento mediante estudios de imagen ha permitido mejorar la detección de enfermedades específicas del injerto renal tanto de tipo vascular como infeccioso o tumoral.
Debido a que estos pacientes están sometidos a una fuerte terapia inmunosupresora, tienen una mayor probabilidad de desarrollar un tumor. Si bien la mayor parte de los tumores malignos que aparecen en los pacientes con trasplante renal ocurren en la piel, cerviz, sangre o hígado1, en un pequeño porcentaje el propio injerto puede ser el asiento de una tumoración maligna.
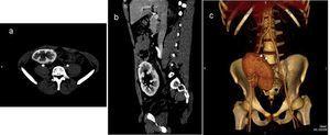
Presentamos un caso mediante imágenes de un carcinoma papilar renal multicéntrico en un riñón trasplantado detectado mediante un estudio de seguimiento ecográfico rutinario, en un paciente de 29 años de edad, dos años después del trasplante (figura 1, figura 2 y figura 3).
Dado que el patrón de crecimiento de los tumores que se desarrollan en el injerto renal es menos agresivo que en el riñón nativo2, el tratamiento debe estar orientado a preservar la mayor parte de tejido renal posible3.
El período ventana desde que se realiza el trasplante hasta la aparición de una tumoración primaria del injerto puede variar de uno a veinte años, lo cual abre un interrogante sobre el tiempo de seguimiento de estos pacientes.
Figura 1. Ecografías.
Figura 2. Imágenes obtenidas a partir de una tomografía computarizada helicoidal de 64 detectores
Figura 3. Trasplantectomía del injerto renal en sección longitudinal.







