Presentamos el caso de un varón de 51 años, sin antecedentes de interés, que ingresó por insuficiencia renal aguda. El paciente refería dolores óseos generalizados de 2 meses de evolución que relacionaba con un accidente laboral, por lo que tomaba ibuprofeno a dosis elevadas y diversos mórficos (fentanilo, tramadol y codeína). Los datos analíticos más relevantes en el momento del ingreso fueron: urea: 107 mg/dl; creatinina: 4,64 mg/dl (un año antes era normal); sodio: 139 mmol/l; potasio: 4,2 mmol/l; calcio: 14,9 mg/dl (iónico: 1,95 mmol/l); fósforo: 5,1 mg/dl; proteínas totales: 6,90 g/dl; albúmina: 4,1 g/dl; hemoglobina: 9,9 g/dl; hematocrito: 28,2 %; hierro: 62,2 ug/dl; ferritina: 1134 ng/ml; hormona paratiroidea: < 3 pg/ml, y excreción fraccional de sodio: 4,9 %.
La ecografía renal mostró riñones de tamaño normal, con marcados signos de nefropatía difusa cortical.
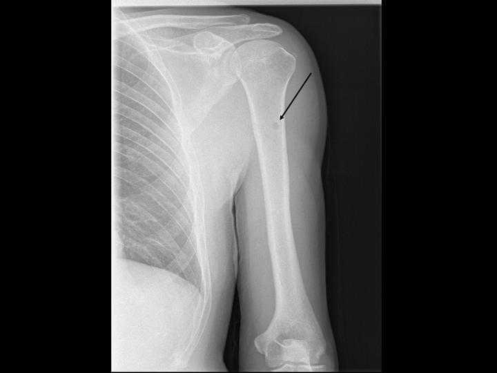
Una serie ósea completa evidenció múltiples lesiones líticas en huesos largos (figura 1) y cráneo (figura 2), sugestivas de mieloma múltiple.
El proteinograma en sangre demostró una banda monoclonal kappa (inmunofijación en sangre), cadenas ligeras kappa: 8140 mg/l (valores normales: 3,3-19,4 mg/l), con un índice kappa-lambda libres de 953,16 (valores normales: 0,26-1,65). En orina, la proteinuria de Bence-Jones fue de 11 g/día (cadenas kappa).
El paciente fue diagnosticado de mieloma múltiple Bence-Jones positivo kappa.
Se inició tratamiento con hidratación, furosemida, bifosfonatos y calcitonina, con lo que se corrigió la hipercalcemia, y mejoró la insuficiencia renal hasta alcanzar una creatinina sérica de 1,6 mg/dl.
Fue trasladado al Servicio de Hematología para recibir tratamiento de la enfermedad de base.
La insuficiencia renal es un hallazgo frecuente del mieloma múltiple y puede proporcionar una pista hacia el diagnóstico. Se da en el 20-40 % de los pacientes con diagnóstico reciente y ensombrece el pronóstico1. Habitualmente es de grado moderado (creatinina sérica menor de 4 mg/dl), pero el 10 % requiere tratamiento renal sustitutivo.
El daño renal se produce por varios factores: amiloidosis primaria, depósito glomerular de cadenas ligeras, pesadas o ambas, crioglobulinemia, riñón del mieloma (nefropatía por cilindros de cadenas ligeras), disfunción tubular proximal (síndrome de Fanconi adquirido) o distal, nefritis intersticial, infiltración por células plasmáticas, hipercalcemia secundaria a la reabsorción ósea, hiperuricemia, deshidratación, aintiinflamatorios no esteroideos y contrastes2.
Las lesiones líticas son uno de los criterios diagnósticos y se desarrollan en casi el 80 % de los pacientes. El 58 % de los pacientes refiere dolores óseos en el momento del diagnóstico. La serie ósea todavía es el método recomendado para el diagnóstico de estas, pero solo identifica aquellas con avanzado grado de destrucción ósea, que afectan a un mínimo del 30 % del hueso trabecular, pudiendo llegar a afectar hasta al 50-75 %. La resonancia magnética se recomienda si la serie ósea es normal o si se sospecha un plasmocitoma solitario del hueso3.
Este caso subraya la importancia de la realización de una serie ósea a los pacientes con hipercalcemia y dolor óseo, pues aporta una información de gran valor diagnóstico.
Conflictos de interés
Los autores declaran que no tienen conflictos de interés potenciales relacionados con los contenidos de este artículo.
Figura 1. Lesión lítica en el brazo izquierdo
Figura 2. Lesiones líticas en el cráneo.




