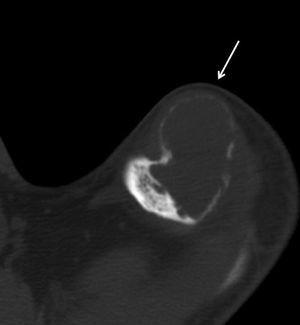
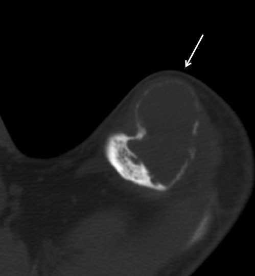
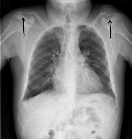
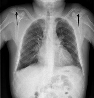
Presentamos el caso de un varón de 38 años con insuficiencia renal crónica terminal secundaria a nefropatía por reflujo, en programa de hemodiálisis desde los 23 años. Presentaba hiperparatiroidismo secundario tratado con paricalcitol por intolerancia digestiva a cinacalcet, con hormona paratiroidea (PTH) en torno a 1900 pg/ml. Consultó por una tumoración indolora, dura y sin signos inflamatorios, de un mes de evolución en el hombro izquierdo (figura 1). La serie ósea (figura 2 y figura 3) y la tomografía axial computarizada cérvico-torácica (figura 4) mostraron una imagen ovoidea, hipodensa y de borde no escleroso en la diáfisis de la tibia derecha y lesiones osteolíticas expansivas, con importante adelgazamiento de la cortical en las zonas distales de ambas clavículas, la mayor (4 cm de diámetro) en el lado izquierdo, que corresponden a tumores pardos debidos al hiperparatiroidismo secundario. Se realizó una paratiroidectomía total, observándose adenomas en las glándulas izquierdas y descenso inmediato de la PTH hasta 0,3 pg/ml.
Los tumores pardos son lesiones que se desarrollan en focos de osteítis fibrosa quística y representan un proceso reparativo óseo, más que verdaderos tumores. Se deben al incremento de la PTH (3-4 % hiperparatiroidismo primario y 1,5-1,7 % secundario), que induce la proliferación y diferenciación de osteoblastos y la migración de osteoclastos, con resorción ósea y proliferación incrementada de tejido fibroso y matriz extracelular1.
Las localizaciones más frecuentes son: maxilar, clavículas, pelvis y costillas2. Son masas benignas e indoloras que se suelen diagnosticar en radiografías de rutina, apareciendo como lesiones líticas de bordes regulares, con cortical adelgazada y fracturada.
El tratamiento consiste en el control del hiperparatiroidismo, con tratamiento médico o paratiroidectomía, aunque puede ser necesario extirparlos si producen clínica local por compresión de las estructuras vecinas3.
Es necesario el diagnóstico diferencial de las masas óseas, pero el incremento de la PTH en un paciente con insuficiencia renal crónica orienta claramente hacia el diagnóstico de esta entidad.
Conflictos de interés
Los autores declaran que no tienen conflictos de interés potenciales relacionados con los contenidos de este artículo.
Figura 1. Masa dura, indolora y sin signos inflamatorios en el hombro izquierdo
Figura 2. Imagen de radiografía de ambas piernas con tumor pardo en la diáfisis de tibia derecha
Figura 3. Imagen de radiografía de tórax en la que se aprecian tumores pardos en ambas clavículas
Figura 4. Imagen de tomografía axial computarizada que corresponde a un tumor pardo en la clavícula izquierda








