La enfermedad venooclusiva inflamatoria mesentérica se define como una rara entidad inflamatoria intestinal de etiología desconocida que cursa como un cuadro isquémico, cuya afectación más frecuente es la colónica. Su diagnóstico es difícil debido a la discrepancia entre la clínica y las pruebas complementarias, y su tratamiento casi siempre es quirúrgico. El diagnóstico definitivo lo proporciona la histología, que muestra una tromboflebitis o vasculitis venosa selectiva, que afecta a venas de pequeño calibre y que característicamente no afecta al territorio arterial. Presenta una elevada morbimortalidad, por lo que es preciso actuar de forma rápida y enérgica, ya que el retraso en su diagnóstico y tratamiento puede resultar fatal para el paciente.
INTRODUCCIÓN
El trasplante renal de cadáver o de donante vivo es el tratamiento de elección en los pacientes con enfermedad renal terminal; sin embargo, las complicaciones gastrointestinales en los pacientes trasplantados son frecuentes, llegando a aparecer en un 16 % de los casos. Dichas complicaciones pueden estar causadas por una gran variedad de alteraciones y pueden cursar como una inflamación aguda o crónica inespecífica, siendo la más frecuente la afectación colónica. Las complicaciones colónicas están ampliamente reconocidas en receptores de trasplante renal y son causa frecuente de morbimortalidad1,2; una de las más temidas es la colitis isquémica. Los factores etiológicos asociados son múltiples, tales como inmunosupresores (p. ej., ciclosporina3, micofenolato mofetilo), fármacos que inducen vasoconstricción mesentérica (p. ej., antiinflamatorios no esteroideos [AINE]), calcificaciones vasculares, vasculitis sistémicas o asociadas a infecciones, principalmente por citomagalovirus (CMV)4, etc.
La enfermedad venooclusiva inflamatoria mesentérica (EVOIM), también llamada enfermedad venooclusiva intestinal (EVOI), es una rara entidad inflamatoria que cursa como una colitis isquémica de evolución tórpida, con una elevada tasa de morbimortalidad.
CASO CLÍNICO
Varón de 39 años de edad con antecedentes de hipertensión arterial y dislipemia en tratamiento con betabloqueantes, calcioantagonistas y estatinas. Padece una enfermedad renal crónica estadio 5 no filiada, en tratamiento sustitutivo renal mediante diálisis peritoneal, que a los dos meses recibe un trasplante renal de cadáver. Serología: CMV positivo.
La pauta inmunosupresora consistió en tacrolimus, micofenolato mofetilo y corticoides (suspendidos de forma progresiva a los tres meses del trasplante). A los ocho meses del trasplante ingresó de forma urgente por dolor abdominal difuso y continuo, con exacerbaciones de tipo cólico, de 10 días de evolución, asociado a la disminución del número de deposiciones. Estaba afebril y hemodinámicamente estable. En la exploración abdominal destacó una masa periumbilical izquierda, sin signos de peritonismo, que no se correlacionaba con el dolor intenso presentado por el paciente.
La analítica completa presentaba anemia normocítica normocrómica discreta, función renal levemente deteriorada y aumento de los parámetros inflamatorios (proteína C reactiva [PCR] y velocidad de sedimentación globular). Los niveles de inmunosupresores se mantuvieron en todo momento dentro del rango terapéutico. La ecografía abdominal mostró injerto renal funcionante con patrón Doppler normal y engrosamiento transmural de las paredes del colon izquierdo y del recto-sigma, con láminas de líquido libre en el espacio parieto-cólico izquierdo, junto con aumento de volumen y ecogenicidad de la grasa parietocólica. Ante la sospecha de diverticulitis complicada, se realizó una colonoscopia con toma de biopsia, donde destacó la presencia de mucosas edematosas y erosiones sin fibrina en las paredes del recto-sigma, sin divertículos ni signos de diverticulitis.
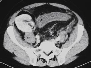
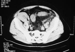
Durante el ingreso se instauró tratamiento médico y antibiótico empírico de amplio espectro, sin mejoría clínica. Los coprocultivos, parásitos y toxina de C. difficile en heces resultaron negativos, al igual que la antigenemia, la PCR y el cultivo de CMV5. La tomografía axial computarizada (TAC) abdominal sin contraste (figura 1 y figura 2) mostró imágenes compatibles de colitis aguda recto-sigma. Ante la sospecha de posible proceso vascular, se solicitó estudio de anticoagulación, homocisteína y anticuerpos anticardiolipina, que fueron negativos, y se inició tratamiento con heparina de bajo peso molecular.
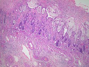
A los 15 días del ingreso el paciente presentó inestabilidad hemodinámica, caída del hematocrito y hematoquecia abundante, precisando una laparotomía urgente con resección de sigma y recto hasta un tercio inferior (tipo Hartman) y colostomía de descarga en fosa ilíaca derecha. El estudio macroscópico describía una pieza de 45 cm de longitud con 11 cm de perímetro proximal y 8 cm de perímetro distal, con moderada estenosis intraluminal, mucosa ampliamente ulcerada y cubierta en zonas por material hemorrágico. El estudio anatomopatológico (figura 3 y figura 4) reveló extensa necrosis de la mucosa colónica que se encontraba cubierta por un material fibrino-leucocitario junto con hiperplasia miointimal en venas de diferente tamaño. En las venas mesentéricas de mayor tamaño destacaba la presencia de trombos organizados y recanalizados, en los que se evidenciaban depósitos de hemosiderina con la tinción de Perls. El meso presentaba edema y múltiples focos de necrosis en la grasa pericolónica; todo ello, sugestivo de EVOIM como primer diagnóstico etiológico. Dada la buena evolución posoperatoria, el paciente fue dado de alta hospitalaria para continuar controles ambulatorios.
Veinte días después del alta acudió de nuevo a Urgencias con cuadro de dolor abdominal intenso, tipo cólico, de pocas horas de evolución, junto con deposiciones semilíquidas sanguinolentas e inestabilidad hemodinámica. La exploración abdominal resultó inespecífica, por lo que se intervino urgentemente mediante una nueva laparotomía, evidenciándose líquido seroso intraabdominal de escasa cuantía y múltiples adherencias sin cuadro obstructivo ni presencia de colecciones. Intraoperatoriamente se objetivó aumento del grosor del colon atribuible al peristaltismo de lucha, con coloración e irrigación dentro de la normalidad. La colostomía terminal presentaba signos de estenosis, por lo que se procedió a la liberación de adherencias y reconstrucción de colostomía terminal. Durante el posoperatorio inmediato presentó shock hemodinámico a pesar de los fármacos vasoactivos, falleciendo a las pocas horas. La autopsia no fue posible ante la negativa de la familia.
DISCUSIÓN
Las complicaciones gastrointestinales en pacientes trasplantados renales son frecuentes, siendo las colónicas las más habituales. La colitis isquémica puede estar causada por una gran variedad de etiopatogenias, y sus manifestaciones clínicas suelen ser inespecíficas, lo que induce con frecuencia al retraso en el diagnóstico y el tratamiento, hecho que contribuiría a la gran morbimortalidad que presenta (70-100 %)6.
La enfermedad venooclusiva es una entidad ampliamente reconocida a nivel hepático, asociada principalmente al trasplante de médula ósea (TMO). Más extraño es encontrar una patología venooclusiva similar en una localización extrahepática7 y asociada al trasplante renal. La EVOI o EVOIM fue descrita por primera vez en 1994 por Flaherty et al.8, y está representada por una vasculitis de vasos de mediano calibre que afecta a pacientes con historia de consumo de AINE, inmunosupresores, quimioterapia, etc., y más raramente a pacientes con trasplante previo, tanto TMO como trasplante de riñón. Su etiología es desconocida, ya que los casos descritos son escasos y hay poca experiencia clínica, aunque son varios los factores de riesgo que se han señalado en su desarrollo en pacientes trasplantados renales, como la vasculitis por CMV9, los fármacos que inhiben las prostaglandinas (p. ej., AINE e inhibidores de la ciclooxigenasa 1 y 210), la vasoconstricción mesentérica inducida por los anticalcineurínicos3 y la asociación con otras enfermedades autoinmunes (artritis reumatoide, enfermedad de Buerger, enfermedad de Behçet, lupus eritematoso sistémico, síndrome antifosfolípido, etc.) o víricas (la hepatitis C parece estar asociada a un incremento significativo del riesgo de EVOI y podría ser un factor predisponente en algunos pacientes trasplantados).
La lesión principal es el daño endotelial de las vénulas con presencia de trombosis, depósitos de colágeno y reticulina con necrosis del tejido distal, siendo lo más característico la hiperplasia miointimal, que algunos autores asocian a vasculitis sistémica. Se trata de una vasculitis venosa selectiva que afecta a venas de pequeño y mediano calibre junto con la PAN, la enfermedad de Kawasaki y la vasculitis de Buerger. Característicamente el territorio arterial no se ve afectado, aunque, si la evolución se cronifica, la capa muscular propia de los vasos venosos se hipertrofia con el tiempo, originando un aspecto pseudoarterial en el vaso (confusión con patologías arteriales). La alteración puede afectar a las venas de todo el territorio mesentérico (superior o inferior), siendo la clínica dependiente del segmento afectado. Puede aparecer fibrosis parietal intensa con neovascularización y circulación colateral prominente en los territorios retrógrados.
La clínica es inespecífica y muy heterogénea, pudiendo manifestarse como una colitis isquémica aguda, subaguda e incluso crónica. En la mayoría de los casos su inicio es insidioso, progresivo y de semanas o días de evolución. Se caracteriza por dolor abdominal localizado en el territorio venoso afectado, con o sin signos de peritonismo. El cuadro se acompaña de anorexia, náuseas y vómitos, sin afectación del tránsito gastrointestinal, pudiendo aparecer diarrea sanguinolenta o hematoquecia franca a medida que evoluciona el cuadro. En ocasiones, el dolor abdominal parece desproporcionado a los signos encontrados en la exploración física. Puede presentar una distribución peculiar, afectando mesenterio y mesocolon.
El diagnóstico de la EVOIM es clínico. Las pruebas complementarias deben incluir analítica sanguínea, estudio de coagulación (TP, INR, TTPA, proteína C, proteína S, factor V de Leiden) y pruebas inmunológicas (factor reumatoide, anticuerpos anticardiolipina y antifosfolípidos11, anticuerpo lúpico, anticuerpos antinucleares, antígenos nucleares extractables, anticuerpos anticitoplasma de neutrófilo), aunque son de poca ayuda, ya que no se han descrito asociaciones claras con anticuerpos específicos. Las pruebas complementarias de imagen son poco concluyentes. La radiografía de abdomen simple es inespecífica y de poca utilidad, mientras que la ecografía abdominal puede revelar la presencia de una masa a nivel del segmento del colon afectado que podría corresponder a la dilatación posestenótica. La TAC abdominal demostraría un engrosamiento de la pared del segmento colónico afectado con la visualización de neumoperitoneo en caso de perforación. La colonoscopia puede poner de manifiesto las lesiones de la mucosa colónica, tales como edema, eritema e incluso necrosis parcheada de la mucosa o hemorragia, permitiendo la toma de muestras para biopsia. La angiografía de venas mesentéricas12 puede poner de manifiesto una dilatación anormal de las arterias marginales del colon con ectasia del territorio venoso, que puede traducirse en una ausencia de flujo venoso en el territorio afectado. El diagnóstico diferencial radiológico debería tener en cuenta la enteritis rádica, la enfermedad de Crohn y la tuberculosis con afectación intestinal, entre otras. La laparotomía exploradora proporcionará el diagnóstico de confirmación mediante el estudio anatomopatológico de la pieza quirúrgica.
El tratamiento es inespecífico, aunque algunos autores sugieren que un tratamiento médico y quirúrgico enérgico es necesario en aquellos pacientes trasplantados renales que presentan una complicación colónica aguda9. En algunos casos el tratamiento puede ser conservador, de soporte, dependiendo de la evolución clínica del paciente. La evolución tórpida del cuadro suele llevar a la necesidad de laparotomía urgente, con la consiguiente resección del segmento intestinal implicado13, siendo la respuesta variable. La recurrencia de la enfermedad tras la intervención quirúrgica es excepcional y fue descrita por Tempia-Caliera por primera vez en 200214. Algunos autores defienden el tratamiento de la EVO hepática con parches de nitroglicerina como aportes de óxido nítrico15 o el desfibrotide16, sin que haya indicios de que puedan ser utilizados en la EVOIM. En el caso de la EVO hepática, algunos estudios recomiendan el uso de heparinas de bajo peso molecular o heparinas no fraccionadas como prevención secundaria, al tratarse de un proceso trombótico vascular de base, aunque sin resultados concluyentes17,18. Dada la escasez de casos de EVOIM asociados a trasplante renal, este tipo de tratamiento debe ser planteado no sin antes tener en cuenta el aumento del riesgo de sangrado en este tipo de pacientes. Del mismo modo ocurre con los anticoagulantes orales, tales como el acenocumarol o el fenprocomona14.
En conclusión, la gravedad de la EVOIM nos obliga a tener en cuenta esta entidad como parte del diagnóstico diferencial de colitis isquémica asociada a pacientes con trasplante renal, ya que, aunque su etiología es desconocida, son muchos los indicios que hacen pensar que puede ser causada por la combinación de factores, entre los que destacarían la toma de inmunosupresores durante períodos prolongados de tiempo y la presencia o no de una enfermedad autoinmune de base. ¿Puede existir una patología venooclusiva como la hepática en localizaciones extrahepáticas? ¿Puede la EVOIM recurrir? Dada la gravedad del caso, ante la sospecha clínica es preciso actuar de forma rápida y enérgica. El retraso en el diagnóstico y el tratamiento puede resultar fatal.
Conflictos de interés
Los autores declaran que no tienen conflictos de interés potenciales relacionados con los contenidos de este artículo.
Figura 1. Tomografía axial computarizada abdominal.
Figura 2. Tomografía axial computarizada abdominal.
Figura 3. Anatomía patológica.
Figura 4. Anatomía patológica.








