Sr. Director, el fracaso renal agudo (FRA) es un síndrome clínico caracterizado por una disminución brusca del filtrado glomerular y un aumento de la concentración sérica de los productos nitrogenados1,2. El FRA obstructivo representa el 10%del total de los FRA2, siendo más frecuente en pacientes de edad avanzada y más en varones2. Para su diagnóstico son fundamentales las pruebas de imagen, sobre todo la ecografía renal3 en la que se suele observar una dilatación de la vía urinaria y en ocasiones la causa de la obstrucción.
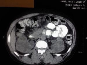
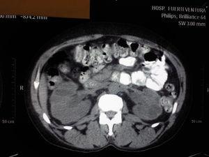
Presentamos el caso de una paciente mujer de 41 años de edad, sin antecedentes personales de interés que es remitida desde el servicio de urgencias por deterioro de función renal con creatinina sérica (Crs) 6.5 mg/dl, en el contexto de hemorragias vaginales con requerimientos transfusionales, siendo diagnosticada en ese momento por el servicio de ginecología de útero miomatoso. Se cursa ingreso para estudio, realizándose eco renal donde se objetiva una hidronefrosis bilateral grado IV con escasa diferenciación corticomedular sin objetivarse uréteres, por lo que se realiza tomografía axial computerizada (TAC) con el resultado de ureterohidronefrosis bilateral grado IV secundaria a compresión extrínseca por útero miomatoso de 13 x 9 cm (figura 1 y figura 2). Se avisa al servicio de urología, que implantan un catéter doble "J" en uréter derecho, con imposibilidad de colocación en uréter izquierdo. Se pide valoración por el servicio de ginecología, que postpone cirugía de histerectomía simple para una semana después. Tras realización de histerectomía, la paciente evoluciona desde el punto de vista clínico de forma favorable, no así desde el punto de vista bioquímico, manteniéndose Crs de 4.5 mg/dl tras 15 días postoperatorio. Se realizó nueva ecografía renal observándose hidronefrosis grado II y escasa diferenciación corticomedular, por lo que no se realizó biopsia renal percutánea, decidiéndose alta a domicilio con el diagnóstico de enfermedad renal crónica grado 4 secundaria a probable nefritis intersticial, para seguimiento en consulta de prediálisis.
En los FRA obstructivos la rápida solución de la obstrucción conlleva una resolución completa del FRA. En nuestro caso, desde el momento en el que se utilizan las pruebas de imágenes nos dan datos de la cronicidad del proceso. Por esto, es importante un diagnóstico y tratamiento precoz, para garantizar la viabilidad renal.
Figura 1.
Figura 2.







