Sr. Director:
La fiebre hemorrágica con síndrome renal (FHSR) es una entidad clínica secundaria a la infección por hantavirus (Hantaan, Seoul, Sin Nombre, Andes virus, Puumala y Dobrava); los dos últimos, endémicos en áreas rurales del este de Europa y siendo el virus Puumala el de mejor pronóstico a largo plazo1.
Los roedores son el reservorio natural de los hantavirus, y la trasmisión al ser humano se produce a través del contacto directo con sus secreciones (orina, heces y saliva).
La evolución natural de la enfermedad comprende cuatro fases sucesivas tras un período de incubación aproximado de 3 semanas: una primera fase de fiebre seguida de una fase de shock y oliguria; los pacientes que sobreviven a esta fase entran en una fase de poliuria para posteriormente entrar en una fase de convalecencia de duración variable.
La trombocitopenia es frecuente y puede producirse hemorragia a cualquier nivel.
La afectación renal comprende proteinuria, hematuria y disminución del filtrado glomerular. Se ha propuesto como sustrato fisiopatológico la lesión vascular endotelial directa y la nefritis túbulo-intersticial mediada por citocinas2.
El diagnóstico se basa en la alta presunción clínica y se apoya en métodos serológicos específicos3, no siendo necesaria la biopsia renal4. La ecografía renal puede mostrar incremento del tamaño renal y de los índices de resistencia. Es también un hallazgo habitual objetivar una colección perirrenal (así como derrame pleural, pericárdico o ascitis). No existe vacuna ni tratamiento específico: el tratamiento de soporte tiene una importancia fundamental. Existe un estudio doble ciego que demuestra reducción de la mortalidad con el tratamiento precoz con ribavirina5.
Se presenta a continuación la experiencia de nuestro centro en un caso de FHSR secundario a infección por virus Puumala.
Se trata de un varón de 18 años sin antecedentes de interés que acudió al Servicio de Urgencias por fiebre, mialgias y cefalea frontal de 3 días de evolución que no había mejorado con amoxicilina-clavulánico y paracetamol pautado por su médico. Dos semanas antes había estado haciendo senderismo en una zona rural de Eslovenia.
En la exploración física destacaba fiebre de 39,2 ºC, cursaba normotenso, no presentaba adenopatías y manifestaba dolor a difuso la palpación del abdomen. En los datos de laboratorio de urgencias destacaba en sangre: 10.010 leucocitos/mm3 sin eosinofilia; trombocitopenia de 32.000/mm3 sin agregados plaquetarios; hemoglobina: 18; hematocrito: 48%; creatinina: 1,35 mg/dl; urea: 47 mg/dl; lactato-deshidrogenasa (LDH): 324 U/l; el resto de la analítica en sangre fue normal.
En orina se objetivaba microhematuria.
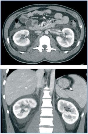
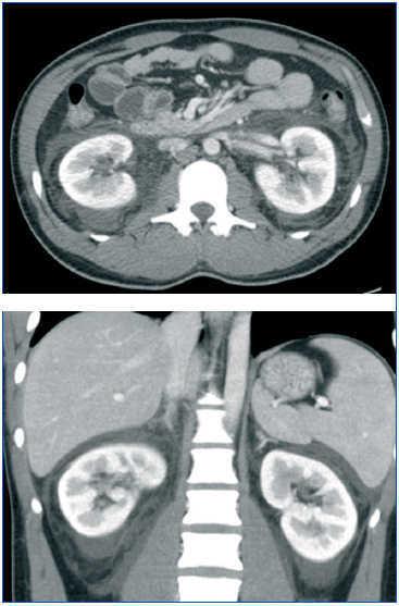
La radiografía de tórax y abdomen fueron normales. En la ecografía abdominal y tomografía axial computarizada abdómino-pélvica se objetivaban riñones morfológicamente normales sin dilatación de vía excretora con líquido libre perirenal y en pelvis (figura 1).
El paciente ingresa en planta para estudio, por lo que tras toma de cultivos se inicia tratamiento antibiótico empírico con ceftriaxona y levofloxacino. El segundo día de ingreso presenta hemorragia conjuntival (figura 2), tendencia a la oliguria, aparición de edemas y deterioro de función renal; presenta creatinina de 2,7 mg/dl. Ante la sospecha de infección por hantavirus se decide iniciar tratamiento antivírico con ribavirina (500 mg/i.v. cada 8 h). Ocho horas después, el mismo día, presenta episodio de disnea y taquipnea con desaturación (89%) e hipoxia (pO2: 63), por lo que se decide su traslado a la Unidad de Cuidados Intensivos. El cuarto día de ingreso presenta epixtasis que cede con taponamiento nasal anterior, acentuación de la oliguria con incremento de edemas y empeoramiento de la función real con creatinina de 5,6 mg/dl, por lo que se decide inicio de hemodiálisis a través de catéter provisional en vena femoral derecha. Tras 4 sesiones de hemodiálisis se objetiva recuperación de volumen urinario y función renal. El estudio inmunológico (anticuerpos antinucleares, anticuerpos anticitoplasma de neutrófilos, anti-DNA, anticuerpos anti-MBG, complemento, inmunoglobulinas, proteinograma, crioglobulinas, inmunocomplejos circulantes) y las serologías de virus de hepatitis B y C, VIH, virus de Epstein-Barr, citomegalovirus, leptospira, parvovirus B19 y toxoplasma fueron negativas o normales. El día 7, el laboratorio informa IgG (+) 1/512 a virus Puumala, por lo que se suspende antibioticoterapia.
El día 13 es dado de alta tras completar el tratamiento antiviral, con función renal con creatinina de 1,25. En control posterior realizado cinco semanas después, presenta función renal completamente normal (creatinina: 0,69, filtrado glomerular estimado > 60).
Conflictos de interés
Los autores declaran que no tienen conflictos de interés potenciales relacionados con los contenidos de este artículo.
Figura 1. Tomografía axial computarizada abdómino-pélvica
Figura 2. Hemorragia conjuntival aparecida al segundo día de ingreso







