Sr. Director:
Varón de 75 años que acude a urgencias por epigastralgia de cinco días de evolución. Dos semanas antes, por traumatismo en la muñeca derecha, recibió antiinflamatorios no esteroideos (AINE), que tuvo que suspender por la clínica digestiva descrita.
Como antecedentes personales de interés, hay que señalar una prostatectomía radical por tumor y una aspergilosis en seno esfenoidal en octubre de 2011.
- Exploración física: tensión arterial 195/77 mmHg; el resto, sin hallazgos de interés.
- Analítica: creatinina: 5,38 mg/dl, urea: 116 mg/dl, amilasa: 113 UI/l, sodio: 136 mEq/l, potasio: 4,7 mEq/l, hemograma normal.
- Análisis de orina: leucocituria.
- Complemento: C3: 39 (85-180), C4: < 1,4 (10-40).
- Inmunoglobulinas: IgG: 2460 (680-1530), IgG4:72 (9-104), IgM: 36 (40-240), IgA: 127 (70-400).
- Anticuerpos antinucleares, anticuerpos anti-DNA, ANCA, anticuerpos anti-RO, anticuerpos anti-La: negativos.
- Crioglobulinas: negativas.
- Enzima convertidora de angiotensina: 30 (8-50).
- Serología frente virus de la hepatitis B, la hepatitis C, y el virus de la inmunodeficiencia humana: negativos.
- Proteínas en orina de 24 horas: 0,5 gramos.
- Inmunoelectroforesis en sangre: normal.
- Inmunoelectroforesis en orina: ligera banda de precipitación frente a cadena ligera kappa.
- Medula ósea: normal.
- Endoscopia digestiva alta y colonoscopia: normales.
- Ecografía abdominal, radiografía de tórax y abdomen: sin patología.
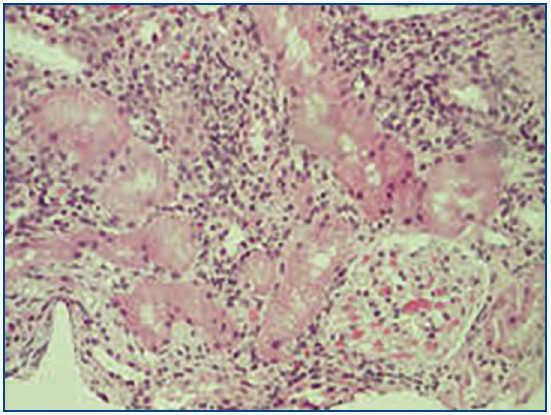
Inicialmente se interpretó como una nefritis túbulo-intersticial (NTI) en relación con AINE. El hallazgo de la hipocomplementemia hizo ampliar el diagnóstico clínico diferencial con nefritis lúpica, crioglobulinemia mixta, glomerulonefritis posinfecciosa y membranoproliferativa, realizándose biopsia renal (Figura 1 y Figura 2): cilindro renal con seis glomérulos sin alteraciones relevantes. En el intersticio existe un infiltrado inflamatorio de linfocitos con escasas células plasmáticas. En la inmunofluorescencia directa se observa depósito granular en la membrana basal tubular de inmunoglobulina G y C3 y en la cápsula de Bowman de algún glomérulo.
Ante tal hallazgo nos planteamos el diagnóstico diferencial con lupus eritematoso sistémico (LES), Sjogren, NTI relacionada con Ig4 y NTI idiopática.
Dentro de este último término se engloban tres entidades: TINU (nefritis intersticial y uveítis), nefritis por anticuerpos antimembrana basal tubular y la NTI hipocomplementémica. El LES se descarta por ausencia de síntomas y anticuerpos negativos, al igual que el síndrome de Sjogren por no presentar xerostomía ni xeroftalmia, así como anticuerpos negativos.
La NTI relacionada con IgG 4, término propuesto por Saeki et al., se engloba en un síndrome conocido como enfermedad autoinmune relacionada con IgG4 recientemente descrito de origen desconocido. Se caracteriza por elevación de IgG4 en plasma asociada a un infiltrado de cualquier órgano de células linfoplasmocitarias con un predominio de células plasmáticas IgG4 positivas. A nivel renal lo más característico es el hallazgo de NTI con hipocomplementemia en un elevado porcentaje.
Descartamos esta entidad por no presentar niveles elevados de IgG4 ni afectación de ningún otro órgano.
El paciente fue diagnosticado de NTI hipocomplementémica. Se trata de una entidad rara cuya patogenia se desconoce. Existen varias hipótesis en relación con la formación de depósitos in situ o preformados de inmunocomplejos circulantes. Suele afectar más a varones con una edad media de presentación de 66 años. La clínica más frecuente de presentación es el fracaso renal con hipocomplementemia.
La experiencia respecto al tratamiento es limitada. Su pilar son los corticoides asociados o no a otros inmunosupresores.
La duración media del tratamiento oscila entre 3-12 meses. Se postula que en caso de recidiva o fracaso del tratamiento se asocie ciclofosfamida, micofenolato o tacrolimus.
En el caso de nuestro paciente, pautamos prednisona en dosis de 1 mg/kg/día con pauta de descenso lento, con excelente tolerancia y respuesta parcial de la función renal. En la última revisión tras cuatro meses de tratamiento presentaba una creatinina de 2,7 mg/dl, normalización de C3 y C4: 6.
Concluimos que la NTI hipocomplementémica debe ser incluida en el diagnóstico diferencial de cualquier fracaso renal e hipocomplementemia sin olvidarnos de la enfermedad relacionada con IgG4.
Conflictos de interés
Los autores declaran que no tienen conflictos de interés potenciales relacionados con los contenidos de este artículo.
Figura 1. Depósitos de IgG y C3 en las membranas basales de los túbulos y en la cápsula de Bowman con el glomérulo indemne
Figura 2. Infiltrado intersticial con glomérulo sano







